和這群年輕醫師及團隊長期的合作中,深感於影像學醫師的負擔很重,如何在有效的時間內作出更為精確的判斷,實有賴醫師們更為快速的經驗累積。因此,與大家決定編著一本能適當提供需要從事胸腔醫學的參考手冊,也使他們在執行業務之中減少因為時間匆促而造成觀察上的疏忽。
作者簡介:
刁翠美 國立陽明大學部定副教授/國立國防醫學大學臨床教授/台北榮民總醫院放射線部兒童及急診科主任/羅東博愛醫院放射診斷科顧問醫師
李明勳 羅東博愛醫院放射科主治醫師/耕莘健康管理專科學校兼任講師
周宜宏 國立陽明大學部定教授/國立國防醫學大學臨床教授/台北榮民總醫院放射線部超音波及乳房影像科主任
林偉群 羅東博愛醫院胸腔內科主治醫師/國立陽明大學部定講師
郭志緯 羅東博愛醫院胸腔內科主治醫師
陳光裕 羅東博愛醫院胸腔內科主治醫師
曾則凱 羅東博愛醫院放射科主治醫師/耕莘健康管理專科學校兼任講師
薛懷正 羅東博愛醫院放射科主治醫師/耕莘健康管理專科學校兼任講師
作者序
不斷精進醫術的追求
醫院經營最核心的任務,是不斷精進醫術,提供更精確的診斷,更有效的治療。博愛醫院成立將近六十年來,沒有一時一刻曾經忘卻這樣的信念。
落實下來,我們長期努力建立醫院同仁們高度重視教學與研究的習慣,鼓勵大家保持著最大的熱忱,不斷追求最新最好的醫療技術,並且慷慨地將自己所學所知跟別人分享。如果沒有過去博愛醫院同仁們在這方面的持續進步,我們不可能獲得蘭陽鄉親長年的信任,更不可能有效扮演起「健康守護神」的積極角色。
秉持並發揚博愛醫院這樣的優良傳統,六位正處於事業巔峰的醫師,在台北榮總刁主任的協助指導下,認真地分析、研判了許多胸腔X光片,運用了最新的知識,集思廣益整理出一套系統來。身為博愛醫院的創辦人,看到這樣的成績,一方面感到格外驕傲,另一方面又有深刻的疼惜感動。我知道要能達到這樣的判讀水準,這幾位醫師必定犧牲了許多自己休息、遊樂的時間,埋首研究苦思,對醫學作出了無私的貢獻。
這樣的貢獻,大大提升了博愛醫院對於病人的照護能力,同時藉由資料的整理出版,大方地將自己辛苦得來的系統理解,開放給所有同業分享。我以博愛醫院得有這樣的同仁、這樣的精神為榮!
博愛醫院創辦人
許文政2012年10月
也無風雨也無晴
自德國物理學家侖琴博士於西元1895年發現X光的產生方法後,放射線就廣泛應用於醫療領域,幫助醫生診斷病患的病情。這些年來,許多新科技與技術如超音波、電腦斷層、核磁共振造影、正子掃瞄等,不斷推陳出新被應用在臨床診療,但胸腔放射線影像因其快速、方便及普及性,在診斷胸腔疾病始終保有其一席之地。
胸腔放射線影像是一門簡單但也困難的學問,入門簡單,但若缺乏對放射線原理、人體解剖構造及臨床病理等知識的深入瞭解,便難有所成。
胸腔放射影像判讀不但是種科學;也是一種藝術。無論文字上的描述如何詳盡,若沒有實際看過影像,便很難體會箇中奧妙,因此「視覺經驗」的累積擴增與反覆驗證便十分重要。
不同於教科書,本書著重在視覺經驗的分享,提供豐富的影像與簡要的疾病介紹,期能幫已入門的同道,多打開一扇窗,開拓自己的視野。
<續傳燈錄>卷22記載:「吉州青原惟信禪師上堂:老僧三十年前未參禪時,見山是山、見水是水,及至後來親見知識有箇入處,見山不是山、見水不是水。而今得箇休歇處,依然見山只是山、見水只是水。」
許多先進常以上這則禪門公案來譬喻判讀胸腔放射線影像的三種歷程,最後我則以蘇軾的一首「定風波」與諸位同道共勉。
莫聽穿林打葉聲,何妨吟嘯且徐行。
竹杖芒鞋輕勝馬,誰怕?一蓑煙雨任平生。
料峭春寒吹酒醒,微冷,山頭斜照卻相迎。
回首向來蕭瑟處,歸去,也無風雨也無晴。
羅東博愛醫院內科部主任
林芳杰2012年10月
理事長序
胸部影像檢查是醫師為病患做胸腔疾病診斷最重要的依據,從一個影像,年輕的醫師會告訴我們影像的基本元素及可能的鑑別診斷,但往往失之毫釐,差之千里。且常需重複不斷的檢查。隨著時間與人生的歷練,同樣的影像資深醫師會告訴我們病患的故事,常常八九不離十,並可告訴年輕的醫師它需要的進一步檢查,縮減從檢查到正確診斷的時間,降低病患檢查時間的消耗。此書提供影像判讀的基本原則、重要的秘訣及有用的鑑別診斷實例,藉由此書具邏輯的、有組織性的分析方法定能提升醫師自己影像判讀能力。
台北榮民總醫院刁翠美主任從事醫學影像判讀近30年,具備多年的臨床和教學經驗,尤其專長於腫瘤影像判讀。刁主任充滿工作熱忱、具使命感,在許創辦人鼓勵下,由她與博愛醫院六位菁英共同著作最新、最值得參考的工具書。經由病例分析與討論使我們更容易了解電子數位時代硬梆梆的影像含意,而更快、更精準地做出鑑別診斷。透過刁翠美主任和六位醫師的分享及解說,將使我們站在巨人的肩膀上延伸視野。
台灣臨床腫瘤醫學會理事長
陳育民2012年10月
少年聽雨歌樓上-自序
看人,或者說瞭解一個人,有許多種方式。
而對我來說,讀電光片(放射線影像)其實也是一種看人的方式:藉由放射線影像的判讀,幫助我們瞭解病人的問題所在,以進一步處理病人的問題。
所以若從這個角度切入,所謂影像判讀的「高手」,其實就是能從黑白的影像裡,讀出完整資訊的人。
首先要感謝台北榮總刁主任:她過去三年來不辭辛勞每月至本院指導,由她所分享的許多案例,令我們從中得到許多啟發。我們從三年來的案例中挑出50例,按放射解剖學的位置分類撰寫而集結成這本書,這本書不是教科書,並不能提供完整的放射線影像判讀知識,但卻是寶貴的視覺經驗分享,期能打破讀者的成見,擴充讀者的視覺經驗。
我也要感謝我的妻子惠鈴,一對兒女宗翰、宛霏。感謝他們帶給我許多快樂。
對於人生的不同歷程,蔣捷的「虞美人」是這麼說的:
少年聽雨歌樓上。紅燭昏羅帳。
壯年聽雨客舟中。江闊雲低、斷雁叫西風。
而今聽雨僧廬下。鬢已星星也。悲歡離合總無情。一任階前、點滴到天明。
常聽前輩說讀片亦如人生,也有三種不同的歷程,您到了哪一歷程?
林偉群2012年10月
序
投身放射線及影像醫學的臨床服務,教學,研究已逾三十五載,深感人生忽忽,而對於年輕學子也多少有所期盼。
醫學的進展可以說是每五年或每十年就是一個世代,即使以十年來算,我也經歷過了三、四個世代,看了一代又一代的年輕人成長,投入影像醫學的相關領域,有感於世代交替,並佩服年輕人的勇於嘗試與創新,想想:我們都是這樣長大的!
想起自己也曾經年輕過,當年在儀器及材料有限的情況下,為了完成檢查或治療的相關任務可以花費好幾個小時,所進行的步驟可能成功或失敗,但是都是充滿了使命感或挑戰性,而在處理報告的時候,也可能坐在影像檢查(X光片)之前沈思,分析,查閱任何可以到手的文獻,對一個病例可能也花上以小時計的時間,期盼對於不能解決的疑難問題作出合理的分析或解釋。曾幾何時,隨著健保制度的實施,在大量的工作負荷之下,我們不少人都把問題留給自己的未來,留給病人,或者臨床專家,我們都已放棄了原本跟隨我們數十年的使命感,而唯一的使命是如何在三小時之內或者三天之內完成「應該」完成的報告。誰在乎品質呢?
而擺在眼前的事實是:亙古以來,跟隨著人類的生命一起存在的疾病或苦痛都是一直延續,我仍然相信醫生雖然不是神,只是平凡的「人」,但是選擇這個行業仍然是有其「天職」!人,和人的病痛仍然需要充分的關懷和精確的處置,只有用「心」誠懇的去觀察,思考,及處置,我們才不會對不起自己當初的選擇。我們要對自己的決定負責。
近七年來,我因為某個因緣際會,決定到蘭陽地區協助此地的影像學專家和醫療團隊,期盼能對民眾的健康照護有所幫助,並且和自己曾經帶過的學生相處,繼續陪伴他們的成長。
和這群年輕醫師及團隊長期的合作中,深感於影像學醫師的負擔很重,如何在有效的時間內作出更為精確的判斷,實有賴醫師們更為快速的經驗累積。因此,與大家決定編著一本能適當提供需要從事胸腔醫學的參考手冊,也使他們在執行業務之中減少因為時間匆促而造成觀察上的疏忽;費時二年,與數個有共同理念的同事們完成此本「胸腔影像 經典案例」的編輯,希望對胸腔影像學相關的專家們有所助益。
刁翠美於台北榮民總醫院放射線部2012年10月
不斷精進醫術的追求
醫院經營最核心的任務,是不斷精進醫術,提供更精確的診斷,更有效的治療。博愛醫院成立將近六十年來,沒有一時一刻曾經忘卻這樣的信念。
落實下來,我們長期努力建立醫院同仁們高度重視教學與研究的習慣,鼓勵大家保持著最大的熱忱,不斷追求最新最好的醫療技術,並且慷慨地將自己所學所知跟別人分享。如果沒有過去博愛醫院同仁們在這方面的持續進步,我們不可能獲得蘭陽鄉親長年的信任,更不可能有效扮演起「健康守護神」的積極角色。
秉持並發揚博愛醫院這樣的優良傳統,六位正處於事業巔峰的醫師,在台北榮總刁...
目錄
Ⅰ、胸廓骨架與軟組織
病例1 轉移性肉瘤(Metastatic sarcoma) 3
病例2 男性乳癌(Male breast cancer) 9
病例3 壞死性筋膜炎(Necrotizing fasciitis) 13
病例4 乳癌合併惡性皮膚潰瘍 17
(Breast cancer with malignant skin ulcer)
病例5 乳房整型(Mammoplasty) 21
病例6 內固定骨釘異位(Malposition of internal fixation pin) 26
Ⅱ、腹 部
病例7 肝細胞癌(Hepatocellular carcinoma) 33
病例8 胃腺癌(Adenocarcinoma of stomach) 36
病例9 右側卵巢腫瘤(Mucinous borderline tumor of right ovary) 40
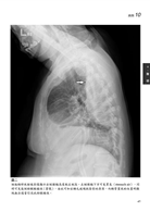
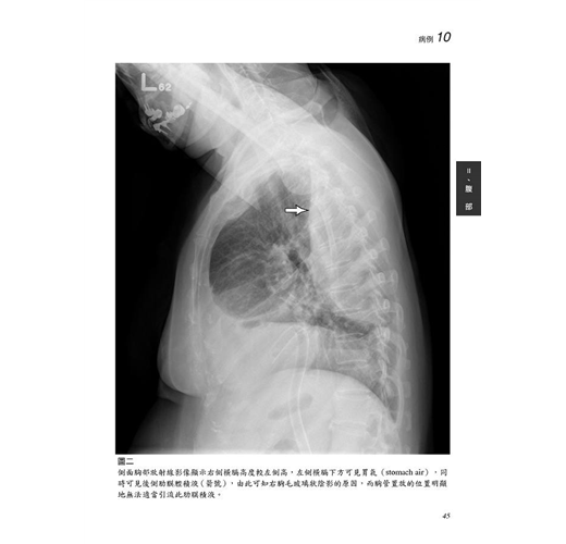
病例10 胸管錯置放(Malposition of chest tube) 44
病例11 橫膈疝氣(Diaphragmatic hernia) 49
Ⅲ、縱 膈
病例12 胸腺囊腫I(Thymic cyst I) 55
病例13 胸腺囊腫II(Thymic cyst II) 58
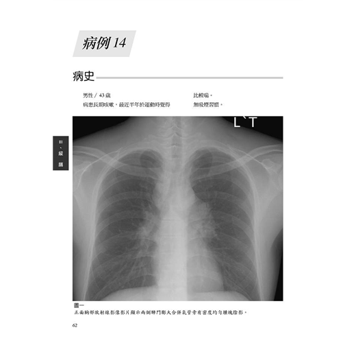
病例14 類肉瘤(Sarcoidosis) 62
病例15 臟器逆位(Situs inversus) 66
病例16 氣管腫瘤-鱗狀上皮細胞癌 69
(Tracheal tumor- squamous cell carcinoma)
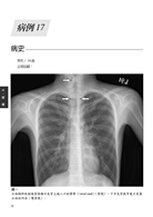
病例17 氣管狹窄(Tracheal stenosis)∕氣管插管後之後遺症 72
病例18 甲狀腺乳突癌合併氣管侵犯 76
(Tracheal tumor-thyroid papillary carcinoma with trachea invasion)
病例19 許旺氏細胞瘤(Schwannoma) 81
病例20 食道憩室(Esophageal diverticula) 85
病例21 威爾森氏症-門脈高壓合併食道靜脈曲張 89
(Wilson disease- portal hypertension with esophageal varices)
病例22 淋巴瘤(Lymphoma) 94
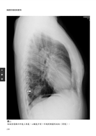
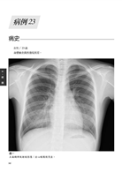
病例23 血管肉瘤(Angiosarcoma) 98
病例24 中央靜脈導管移位(Dislodged central venous catheter) 103
Ⅳ、肺 部
病例25 肺動靜脈畸型(Pulmonary arteriovenous malformation, PAVM) 111
病例26 肺葉內游離肺(Intralobar pulmonary sequestration) 115
病例27 淋巴管平滑肌增生症(Lymphangiomyomatosis, LAM) 120
病例28 肺結核-左上肺葉(Pulmonary tuberculosis- left upper lobe) 124
病例29 肺結核(Pulmonary tuberculosis) 130
病例30 肺腺癌-左上肺葉(Adenocarcinoma of lung- left upper lobe) 135
病例31 支氣管內結核合併左肺萎陷 139
(Endobronchial tuberculosis with atelectasis of left lung)
病例32 肺結核(Pulmonary tuberculosis) 143
病例33 栗粒性結核(Miliary tuberculosis) 149
病例34 肋膜纖維肉瘤(Pleural fibrosarcoma) 155
病例35 大性肺氣腫∕肺大-左上肺葉 160
(Bullous emphysema / giant bullae- left upper lobe of lung)
病例36 囊狀支氣管擴張(Cystic bronchiectasis) 164
病例37 惡性肋膜間皮癌(Malignant pleural mesothelioma) 167
病例38 肺麴黴菌球病(Pulmonary aspergilloma) 171
病例39 肺隱球菌症(Pulmonary cryptococcosis) 175
病例40 肺土壤絲菌病(Pulmonary nocardiosis) 181
病例41 肺栓塞∕氣胸(Pulmonary embolism / pneumothorax) 185
病例42 小細胞肺癌(Small cell carcinoma of lung) 189
病例43 肺腺癌-左下肺葉(Adenocarcinoma of lung- left lower lobe) 193
病例44 肺腺癌-右下肺葉(Adenocarcinoma of lung- right lower lobe) 198
病例45 肺泡蛋白沉著症(Pulmonary alveolar proteinosis, PAP) 204
病例46 瀰漫性細支氣管炎(Diffuse panbronchiolitis) 208
病例47 塵肺症(Pneumoconiosis) 212
病例48 支氣管類癌(Bronchial carcinoid) 216
病例49 淋巴瘤(Lymphoma) 221
病例50 蘭格罕細胞組織球增生症(Langerhans cell histiocytosis, LCH) 225
索 引 229
Ⅰ、胸廓骨架與軟組織
病例1 轉移性肉瘤(Metastatic sarcoma) 3
病例2 男性乳癌(Male breast cancer) 9
病例3 壞死性筋膜炎(Necrotizing fasciitis) 13
病例4 乳癌合併惡性皮膚潰瘍 17
(Breast cancer with malignant skin ulcer)
病例5 乳房整型(Mammoplasty) 21
病例6 內固定骨釘異位(Malposition of internal fixation pin) 26
Ⅱ、腹 部
病例7 肝細胞癌(Hepatocellular carcinoma) 33
病例8 胃腺癌(Adenocarcinoma of stomach) 36
病例9 右側卵巢腫瘤(Mucinous borderline tumor of right ovary) 40
...
購物須知
退換貨說明:
會員均享有10天的商品猶豫期(含例假日)。若您欲辦理退換貨,請於取得該商品10日內寄回。
辦理退換貨時,請保持商品全新狀態與完整包裝(商品本身、贈品、贈票、附件、內外包裝、保證書、隨貨文件等)一併寄回。若退回商品無法回復原狀者,可能影響退換貨權利之行使或須負擔部分費用。
訂購本商品前請務必詳閱退換貨原則。